当院理事長はイタリアの最新レーザーQuanta System の認定医師になりました。

当院理事長の廣瀬はこの度、イタリアローマにて開催された最新レーザーQuanta Systemのメディカルトレーニングに参加してきました。Quanta System は創業30年のレーザーメーカーで、現在、世界的に活動を広げています。
同社の特徴で非常に興味深いのは、「外科領域、皮膚科領域」に加えて、「芸術分野」にその製品力を発揮していることです。

レーザー技術はもともと工学・建築分野に応用されることが多いのですが、実際にQuanta Syastemの 製品も国際宇宙機関で宇宙物理学の分野に利用されています。
これらの知見を元に、古代遺跡や彫刻など、自然環境の影響を受けて変化してしまう芸術作品の保全に対してこのレーザーシステムの開発力が応用されているとのこと。非常にユニークな会社です。

今回、最新のレーザーシステムとしてトレーニングを受けたのは、Youlaser,DuettoQ-Plus Series の3機種について、です。
世界的に発展の目覚ましいこの分野ですが、まだまだ日本には導入されていないシステムということもあり大いに新しい治療に使えると触発されました。
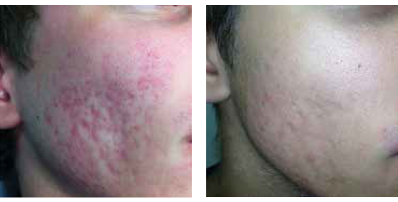
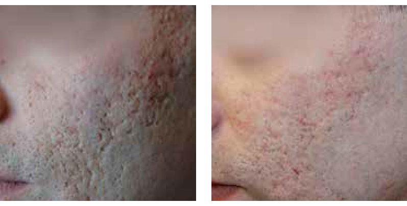
それぞれ刺激的で新しい治療のアイデアをたくさん得てきましたが、注目したのはフラクショナルレーザーにエルビウムを複合的に照射するYoulaserシステムです。
これは、これまで治療が困難だった「色素沈着が残ったニキビ跡」や「凹凸になってしまったニキビ跡」、「大きく開いてしまった毛穴の開き」の治療に画期的な効果をもたらす可能性が高いと考えました。





