論文タイトル
Treatment of Acne Scar Contraction Using Autologous Cultured Epithelial Sheet Transplantation: A Report of Four Cases
自己培養表皮シート移植によるニキビ瘢痕拘縮の治療:4症例の報告)
引用:https://www.cureus.com/articles/379551#!/著者
廣瀬 嘉恵、藤田千春、兵頭 ともか、井上 肇
公開日: 2025年07月04日Abstract(要旨)
尋常性ざ瘡(にきび)は、初期治療が不十分だと瘢痕(はんこん)を残すことが多く、特に毛包感染による組織破壊は拘縮を引き起こします。多数の瘢痕治療法が存在しますが、特にアイスピック状やクレーター状の瘢痕拘縮は治療が困難です。本研究では、瘢痕拘縮を伴う尋常性ざ瘡の4例に対して、自己培養表皮シートの移植を試みました。その結果、3ヶ月後にはすべての症例で瘢痕および皮膚の質感が改善しました。移植された表皮が分泌するプロテアーゼが過剰なコラーゲンを代謝することにより、瘢痕と皮膚の質感が改善されたと考えられます。本治療法は1回の処置で完了し得る有効な選択肢となる可能性があります。
Introduction(はじめに)
培養表皮移植は、広範な皮膚欠損(火傷など)に対して優れた治療法です。浅い真皮に限局する疾患では瘢痕なく治癒することができますが、深部真皮に及ぶ損傷では瘢痕拘縮が残りやすくなります。尋常性ざ瘡が重症化すると、特有の瘢痕を残し精神的な負担にもつながります。従来のレーザーやケミカルピーリングなどの治療には限界があり、本研究では自己培養表皮移植を用いた瘢痕改善の可能性を検証しました。
Case Presentation(症例報告)
Patients(患者群)
本研究は第三者機関の承認を得て実施され、対象は瘢痕拘縮などの皮膚異形成がある4症例。
Epithelial Cell Culture(表皮細胞の培養)
鼠径部から採取した皮膚を用いてBoyce and Ham法により培養し、Rheinwald and Green法で表皮シートを作製。移植までキャリアに保持して保管されました。
![]()
図1:瘢痕および瘢痕拘縮に対する培養表皮シート移植の一般的な手順
この処置は局所麻酔下で、アルファベット順に以下の手順で実施されます:
- A:移植部位の指定
- B:皮膚の研磨
- C:研磨後の状態
- D:培養表皮シート
- E:シートの移植
- F:表皮シート上のキャリアの剥離
- G:一次ドレッシング
- H:二次ドレッシング
皮膚の研磨深度は点状出血が確認できる程度(C)にとどめます。
培養表皮シートはキャリアごと剥離され、移送(D)されます。
必要に応じて、FGF-2などを併用して真皮層の再構築を行うこともあります。
移植創部はウェット・トゥ・ドライ法(wet-to-dry technique)により管理されます。
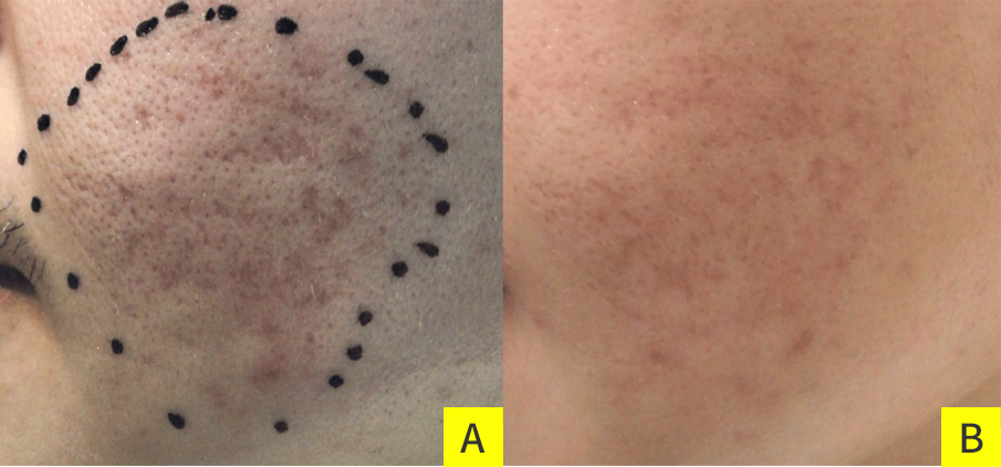
Case 1(症例1)
32歳男性。
主訴は尋常性ざ瘡に伴う瘢痕拘縮
両頬と鼻尖に陥没型およびアイスピック型の瘢痕拘縮が認められた。現病歴
これまでに健康保険適用の外用薬でニキビ治療を行ってきましたが、来院時には薬剤の使用はありませんでした。患者は、頻繁な通院が必要なダーマペン治療よりも、自己培養表皮シート移植を希望しました。
![]()
写真A:移植前(右頬)、B:移植後2か月(右頬)、C:移植前(鼻)、D:移植後2か月(鼻)E:移植前(左頬)、写真F:移植後2か月(左頬) 術後経過要点
術後1か月でかさぶたが残存していたが、3か月後にはすべて脱落し、クレーター状瘢痕拘縮の改善が確認された。2か月後には、顔全体のクレーター様病変も継続して改善を示していた。
Case 2(症例2)
32歳の男性。主訴は尋常性ざ瘡による瘢痕拘縮。
現病歴
患者は21歳頃からニキビが頻発していました。現在は発生頻度は少ないものの、悪化すると切開を要するほどになることもありました。
フラクショナルレーザー、ダーマペン、サブシジョンを合わせて約10回施行しましたが、ニキビ瘢痕は改善されませんでした。ダーマペンでの改善が得られなかったため、自己培養表皮シートの移植を希望しました。![]()
写真A:移植前、B:移植3か月後 術後経過要点
術後1か月で赤みは軽減し、瘢痕も改善。術後3か月では赤みも瘢痕もさらに改善。術後管理としてサブシジョンを提案。
Case 3(症例3)
24歳男性。主訴はクレーター状瘢痕と拘縮あり。
現病歴
これまでにダーマペン、ポテンツァ、フラクショナルレーザーなど複数の治療法を試みたが、効果が感じられなかったため、自己培養表皮シート移植を選択しました。
![]()
写真A:移植前(右頬)B:移植3か月後(右頬)、写真C:移植前(左頬)、D:移植6か月後(左頬) 術後経過要点
1か月後に軽度の紅斑が残るも、3か月後には瘢痕と毛穴の縮小がみられた。他院施行の治療による色素沈着も6か月後に改善。
Case 4(症例4)
40歳女性。主訴は側頭部と頬にクレーター状瘢痕あり。
現病歴
ポテンツァ、ダーマペン治療を複数回行いましたが、有効性を実感できませんでした。
治療法について相談し、ダーマペン+サブシジョンの併用または自己培養表皮シート移植のいずれかを提示。患者は1回の治療で効果が期待できる表皮移植を選択しました。![]()
写真A:移植前、B:移植3か月後 術後経過要点
2週間後に赤みが持続するも瘢痕改善、1か月後にはさらなる改善傾向。3か月後には赤みが改善し、瘢痕も改善。側頭部と頬の癒着に対しサブシジョンを提案。
Discussion(考察)
Characteristics of Acne Scars(ニキビ跡の特徴)
ニキビ(尋常性ざ瘡)は思春期に頻繁に見られる皮膚疾患の一つです。
プロピオニバクテリウムアクネス(P. アクネス) は皮膚に常在する細菌ですが、毛包内で感染増殖して炎症を引き起こします。これは、P. アクネスが皮脂腺から分泌されるトリグリセリドを分解して遊離脂肪酸を生成し、炎症反応を誘発するためです。
したがって、皮脂の分泌を抑制することがニキビ予防に有効です。しかし、思春期には内分泌機能の変化によりテストステロンの分泌が増加し、毛包周囲に存在する5α-還元酵素(type I)によってテストステロンがDHT(ジヒドロテストステロン)に変換され、皮脂腺が活性化され皮脂分泌が増加します。
毛包の炎症は、毛包を嚢腫化させ、毛包壁の破壊に至ります。炎症が長期間持続し、強い反応が起きると、皮膚組織の破壊と瘢痕の形成が生じ、クレーター型やアイスピック型の瘢痕拘縮へとつながります。Characteristics of Scars(瘢痕の特徴)
炎症反応を伴う組織破壊が重度の場合、創傷部に結合組織の欠損が生じ、二次治癒が必要となります。欠損した結合組織を補うためにコラーゲンが過剰に産生されると、「線維性治癒」が起こります。この治癒メカニズムにより、創傷部を充填するコラーゲンが張力を生み出し、創傷を収縮させるため、瘢痕拘縮や肥厚性瘢痕が生じます。このタイプの瘢痕は機能障害や外観の損傷につながります。
瘢痕拘縮の解除や成熟瘢痕の美容的治療には、分層植皮や全層植皮が行われますが、正常部位からのドナー皮膚が十分な面積で必要となります。
Characteristics of Cultured Epithelium(培養表皮の特性)
培養表皮は、広範な皮膚欠損に対する有用な治療手段ですが、その成功は真皮の状態に大きく依存します。浅い真皮までの欠損では良好な生着が期待でき、瘢痕も目立ちません。
しかし、深部真皮や全層欠損では培養表皮の生着は期待できません。
そのため、広範囲熱傷後の瘢痕拘縮に対する培養表皮移植は、ドナー部の侵襲を軽減する利点がありますが、真皮の再建が前提となります。しかし、拘縮部位を深部真皮まで侵襲しないよう慎重に切除すれば、培養表皮移植によって良好な結果が得られることが報告されています。特に、培養表皮移植後には拘縮部が柔らかくなり、外観や質感が改善し、機能的な改善がみられることもあると報告されています。この拘縮部の軟化は、培養表皮による真皮結合組織(主にコラーゲン)代謝の影響と考えられています。
表皮細胞は、多種のタンパク質分解酵素を大量に分泌することが知られており、人工皮膚の作製時にも、コラーゲンマトリックスやフィブリンなどの真皮成分が分解されるため、タンパク質分解酵素阻害剤の添加が必要不可欠とされています。Treatment of Acne Scars with a Cultured Epithelial Sheet(培養上皮シートによるニキビ瘢痕治療)
本研究で行った培養表皮シート移植によるニキビ瘢痕治療は、単なる皮膚の置換ではなく、皮膚構造(特に真皮)への影響を期待した治療です。瘢痕拘縮部の過剰な結合組織(コラーゲン)を、表皮細胞由来のプロテアーゼが分解し、周囲の緊張を緩和して瘢痕を軟化させることが期待されます。
瘢痕部の剥離に際しては、拘縮部の慎重な切除とともに、FGF-2を用いて深層の真皮構造の再生を促進しました。その結果、培養表皮シートは良好に生着し、美容的にも満足のいく結果が得られました。この良好な生着は、薄層剥離と真真皮の再生も寄与していると考えられます。ただし、本報告は短期的な結果に限られているため、長期的な観察が今後必要です。再発を予防するためには、洗顔などのスキンケアやストレスを避けた生活習慣が重要です。
Technical Limitations of This Study(本研究の技術的限界)
本研究は症例報告に留まり、この治療法が現行の標準治療より優れているかを客観的に評価することはできません。しかし、移植後に外観の変化が確認され、患者の質感や美容面の満足度も高かったことは明らかです。また、術後管理も比較的簡便で、治療期間も短縮できた点が注目されます。
本研究では、培養表皮シート移植による治療の可能性を示したにすぎません。今後、本研究結果に基づくランダム化試験を実施する際には、定量的な評価基準の設定が必要となります。
今後も症例数が限られる可能性はありますが、標準治療とのRCTの実施や、既存治療との比較によるメタアナリシス、長期的な追跡調査などにより、本治療法の有効性評価が可能になると考えられます。Conclusions(結論)
当初、培養表皮シート移植は、広範な皮膚欠損を伴う重篤な疾患に対する救命的治療として用いられてきました。しかし、表皮細胞の特性を応用することで、皮膚の代替だけでなく、慢性皮膚疾患の治療にも応用可能性があると考えられます。特に、機能性の改善だけでなく、審美的な目的にも有用である可能性があります。
