レーザートーニングの特徴
肝斑や、シミ、くすみなどの色ムラも改善し、明るく透き通るような肌に導きます。

QスイッチNd:YAGレーザーは、諦めていた頑固なしみに優れた効果を発揮するレーザー治療です。
イットリウム、アルミニウム、ガーネットという3種類から成る結晶YAGにネオジウムNdを混ぜたもので、1064nmという波長を出します。深部への到達性がよいため太田母斑や異所性蒙古斑、青や黒の入れ墨(アートメークを含む)に対して威力を発揮します。
波長を半分に変換できるKTP結晶を組み込んで、532nmの波長を出すこともできます。532nmの波長は、メラニン色素に反応するとともに、ヘモグロビンの赤い色素にも反応しますので、表在性のしみやソバカス、赤やオレンジ、紫色の入れ墨(アートメークを含む)の治療に使用されています。またレーザーピーリングにも使用されています。
そのしみをなかったことにしませんか?毎日の面倒なコンシーラーは過去のもの。気になるその部分だけを治すため、細かいソバカスや目の周りの小さいしみにも効果的です。
こんな悩みはありませんか?
- 肝斑が気になる
- しみをキレイになくしたい
- 毛穴の開きが気になる
- お肌のくすみがをなんとかしたい
- 炎症後色素沈着(時間が経ったもの)で悩んでいる
- 肝斑を効率的に短期間で治療したい
レーザートーニングで期待できる効果
日光黒子(老人性色素班)・そばかす

しみの原因となるメラニンをよく吸収する1064nmレーザーを用いて、効果的にしみ(表在性色素斑)やそばかすを取り除きます。
肝斑

「両頬に沿って左右対称にしみができてきた」「妊娠初期からしみが出来てきた」と悩んでいる方へ。
お肌のそのしみ、もしかして肝斑の可能性があります。肝斑は紫外線や女性ホルモンと関係が深く、30~40代の女性に多く発症が見られていますが、肝斑と自覚している人は少なく、多くの女性の肌を悩ませています。
肌のハリ・キメ・肌質改善
レーザートーニングは治療の回数を重ねることにより、しみや肝斑の他にも、色素沈着、くすみ、開いた毛穴などの改善が期待できます。定期的に治療を繰り返すことで、コラーゲンが増生されるため、お肌にハリやキメ・うるおいが戻ります。
毛穴の開き
レーザートーニングは毛穴に詰まった角栓を溶かし、皮脂腺を引き締めて毛穴の悩みを解消する効果が期待できます。
レーザートーニングとは
レーザートーニングはレーザー治療では難しかった肝斑治療に、画期的な効果をもたらすレーザー治療です。
トーニングは、表皮の下部組織メラノサイト(メラニンを生産するところ)を刺激しにくい1064nmレーザーを低出力で施術することで、メラノサイトを活性化させず(メラニンが発生しない)、おだやかに働きかけて安全に肝斑を薄くしていきます。
しみは原因や種類によって治療方法が異なります。
しみにはさまざまな種類があり、種類によって治療方法が異なります。自己判断によるケアで症状が悪化することもあるため注意が必要になので、医師による適切な診断と治療がおすすめです。
レーザートーニングの副作用・デメリット
施術回数が多くなる
レーザートーニングはレーザーの出力が弱いため、 1回の治療では劇的な変化は望めません。基本的には複数回(症状によって5回~10 回程度)の施術を受けることで、少しずつ改善するようになります。
また、肝斑治療の際も一度で治すのではなく、複数回の治療が必要になります。
肌のトラブルが起こる場合がある
レーザートーニングの治療後、シミ・そばかすが一時的に濃くなる場合がありますが、レーザーが反応しているためなので、ご安心ください。
また照射によって肌に赤みが出たり、肌が乾燥してニキビができたりするリスクや、赤み・かゆみ、湿疹、やけど(水ぶくれ)、炎症性色素沈着、白斑などがあります。
レーザートーニングとピコトーニングの違い
| レーザートーニング | ピコトーニング | |
|---|---|---|
| パルス幅 | 10ナノ秒 | ピコ秒 |
| 波長 | 1064/532 nm | 1064/532 nm |
| 施術時間 | 約1時間 | 約5~45分(症状・施術範囲による) |
| 作用 | レーザーの熱でメラニンを破壊 | 衝撃波でメラニンを細かく破壊 |
| 施術時の痛み | 軽い痛み | 痛みはほぼない |
| ダウンタイム | ほとんどない | ほとんどない |

レーザートーニングとピコトーニングは、どちらもシミ、そばかす、肝斑の改善に効果的な施術です。できるだけ早く効果を実感したい方はピコトーニングがお勧めです。
ただし、症状やお肌の状態によっては、希望する施術が適さない場合があります。当院では症状、お肌の状態、患者さんのご要望などを詳しくお伺いし、最適な治療方法を医師がご提案いたします。
レーザートーニング治療の関連施術
レーザートーニングのメリット
- 低出力のレーザー治療なため、肌へのダメージが小さい
- 治療直後からメイク可能
- 治療時間が短いため、お仕事などで忙しい方も受けやすい
レーザートーニングのデメリット
- 1回の治療では劇的な変化は望めない
レーザートーニングの施術詳細
- 施術時間約1時間
- 入院なし
- 術後の通院約3~4週間隔でまず5回、症状によって10回程度の治療が効果的です。
- 麻酔なし
- 術後の腫れなし
- シャワー当日から可能
- 洗顔当日から可能
- メイク処置直後から可能
- 診察当日の治療その日の状況により可能
レーザートーニングの施術の流れ
- STEP 1レーザートーニングが効果的であるかどうか、医師がじっくりしみの状態についての診察いたします。
- STEP 2治療前に洗顔をさせていただき治療の準備をいたします。麻酔は必要ありません。
- STEP 3眼を保護するためのゴーグルを付けます。
- STEP 4お肌の状態に合わせ冷却しながら照射します。
- STEP 5洗顔後すぐにメイクをして帰宅できます。
レーザートーニングのQ&A
- 治療は痛くありませんか?
- 軽い痛み程度なので麻酔も必要なく安全に治療ができます。痛みの弱い方は、ご相談ください。
- 治療回数はどれくらいですか?
- 約3~4週間隔でまず5回(1クール)、その後は状態によりメンテナンスが必要です。
※回数と間隔は疾患の種類によります。※効果には個人差があります。 - 治療後に気を付けることは?
- 治療後からほぼ通常通りの生活ができます。照射直後、治療部位が少しひりひりしたり、赤くなることがありますが、冷やすと落ち着きます。また、しみは紫外線を浴びると再発しやすくなりますので、外出時や窓際にいるときには日焼け止めを塗ることをお勧めします。
こするなど肌に刺激を与えないようにしてください。 - 周囲の人に知られずに治療を受けることは可能ですか?
- 治療後は、赤みも目立ちにくく、すぐにメイクができます。
ばんそうこうを貼る必要もないため、まわりの人に気づかれる心配はありません。 - 肝斑にレーザー治療はよくないと聞きますが問題ないですか?
- 従来のレーザー治療ですと、ライムライトのような一部のものを除き、メラニンの生成を促してしまうという点で逆効果とされていました。
しかし、レーザートーニング(トーニング)は非常に低出力なフラット照射を数回にわたり 繰り返すことで、肝斑の悪化につながるような刺激を避けつつ、直接治療することを可能にしました。 - レーザートーニングをすれば肝斑は完治しますか?
- 肝斑は閉経とともに消えるという報告もありますが、原因はまだよくわかっていないため、レーザートーニングを含め、完治させる治療法は 残念ながらありません。
トラネキサム酸やビタミンCなど、のみ薬やぬり薬、イオン導入、ピーリング、また美白化粧品などを組み合わせ、よい状態を保ちながら長くつき合っていくことが大切です。
また、日々のケアや紫外線対策を心がけないと、肝斑だけでなく新たなしみを作ることになりますので、注意しましょう。 - 肝斑にレーザー治療は悪化すると聞いたことがあるため心配です。
- 従来のレーザー治療では肝斑を悪化させる可能性がありました。肝斑はメラニンが作られやすいとても敏感な状態になっているので、レーザーの刺激でメラニンを逆に増やしてしまうことがあります。
レーザートーニングは従来のレーザー治療とは違い、非常にマイルドなパワーで治療を行っていきますので、1回で目に見えてうすくなるということはありませんが、逆にいえば1回の治療で肝斑を悪化させるような刺激をあたえることもありません。
不安な方は医師にご相談ください。
廣瀬嘉恵先生のコメント
レーザートーニングの症例
レーザートーニング


学術参考資料
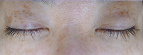
老人性色素斑の治療事例。トーニング+TA10回の施術写真。
費用等に関する事項:当治療は自由診療です。肌質、症状の程度、疾患の種類によって必要な回数や設定が異なるため、当写真と同様の仕上りを目指して治療をする場合、費用も個人差が発生します。
治療等の主なリスク・副作用:出力によっては色素脱失のリスクがありますので、低出力で様子を見ながら複数回にわたっての治療が必要となります。
レーザートーニング+TA導入10回


品川院
トーニング+TA10回の施術写真。老斑が薄くなり、ハリが出てきました。
費用等に関する事項:当治療は自由診療です。肌質、症状の程度、疾患の種類によって必要な回数や設定が異なるため、当写真と同様の仕上りを目指して治療をする場合、費用も個人差が発生します。
治療等の主なリスク・副作用:出力によっては色素脱失のリスクがありますので、低出力で様子を見ながら複数回にわたっての治療が必要となります。
レーザートーニング+TA導入10回


品川院
トーニング+TA10回の施術写真。
費用等に関する事項:当治療は自由診療です。肌質、症状の程度、疾患の種類によって必要な回数や設定が異なるため、当写真と同様の仕上りを目指して治療をする場合、費用も個人差が発生します。
治療等の主なリスク・副作用:出力によっては色素脱失のリスクがありますので、低出力で様子を見ながら複数回にわたっての治療が必要となります。
レーザートーニング+TA導入10回


品川院
老人性色素斑+肝斑の治療事例。トーニング+TA10回の症例写真。
費用等に関する事項:当治療は自由診療です。肌質、症状の程度、疾患の種類によって必要な回数や設定が異なるため、当写真と同様の仕上りを目指して治療をする場合、費用も個人差が発生します。
治療等の主なリスク・副作用:出力によっては色素脱失のリスクがありますので、低出力で様子を見ながら複数回にわたっての治療が必要となります。
レーザートーニング+TA導入10回


品川院
老人性色素斑+肝斑の治療事例。トーニング+TA10回の症例写真。
費用等に関する事項:当治療は自由診療です。肌質、症状の程度、疾患の種類によって必要な回数や設定が異なるため、当写真と同様の仕上りを目指して治療をする場合、費用も個人差が発生します。
治療等の主なリスク・副作用:出力によっては色素脱失のリスクがありますので、低出力で様子を見ながら複数回にわたっての治療が必要となります。
レーザートーニング+TA導入10回


品川院
老人性色素斑+肝斑の治療事例。トーニング+TA10回の症例写真。
費用等に関する事項:当治療は自由診療です。肌質、症状の程度、疾患の種類によって必要な回数や設定が異なるため、当写真と同様の仕上りを目指して治療をする場合、費用も個人差が発生します。
治療等の主なリスク・副作用:出力によっては色素脱失のリスクがありますので、低出力で様子を見ながら複数回にわたっての治療が必要となります。
レーザートーニング+TA導入10回


品川院
雀卵斑(そばかす)がある症例。トーニング+TA10回施術。
費用等に関する事項:当治療は自由診療です。肌質、症状の程度、疾患の種類によって必要な回数や設定が異なるため、当写真と同様の仕上りを目指して治療をする場合、費用も個人差が発生します。
治療等の主なリスク・副作用:出力によっては色素脱失のリスクがありますので、低出力で様子を見ながら複数回にわたっての治療が必要となります。
レーザートーニング+TA導入15回


品川院 30代女性
老人性色素斑・ニキビによる色素沈着あり、トーニング+TA15回施術。時折、照射による点状出血ありましたが、1-2日で焼失しました。
費用等に関する事項:当治療は自由診療です。肌質、症状の程度、疾患の種類によって必要な回数や設定が異なるため、当写真と同様の仕上りを目指して治療をする場合、費用も個人差が発生します。
治療等の主なリスク・副作用:出力によっては色素脱失のリスクがありますので、低出力で様子を見ながら複数回にわたっての治療が必要となります。
レーザートーニング+ジェネシス+ライムライト


銀座院 30代女性
トーニング1.0J~慎重に開始し、肝斑部は2パス目パワー上げました。
内服とジェネシス併用開始。左こめかみの老人性色素斑はヤグレーザー1回。
以後はジェネシス+トーニングをベースに、状態を見ながらライムライトも併用。
費用等に関する事項:当治療は自由診療です。肌質、症状の程度、疾患の種類によって必要な回数や設定が異なるため、当写真と同様の仕上りを目指して治療をする場合、費用も個人差が発生します。
治療等の主なリスク・副作用:出力によっては色素脱失のリスクがありますので、低出力で様子を見ながら複数回にわたっての治療が必要となります。
レーザートーニング+ジェネシス+ライムライト


銀座院 30代女性
トーニング1.0J~慎重に開始し、肝斑部は2パス目パワー上げました。
内服とジェネシス併用開始。左こめかみの老人性色素斑はヤグレーザー1回。
以後はジェネシス+トーニングをベースに、状態を見ながらライムライトも併用。
費用等に関する事項:当治療は自由診療です。肌質、症状の程度、疾患の種類によって必要な回数や設定が異なるため、当写真と同様の仕上りを目指して治療をする場合、費用も個人差が発生します。
治療等の主なリスク・副作用:出力によっては色素脱失のリスクがありますので、低出力で様子を見ながら複数回にわたっての治療が必要となります。
トーニング+イオン導入5回+内服


大岡山院 50代女性
過去エステで色々と施術経験のあった患者さんですが、シミ・くすみ感が改善せず、皮膚科でのシミ治療を求めてご来院された。
老斑やくすみの他に肝斑(かんぱん)も見られた。
肝斑は刺激が大敵であるため、レーザートーニングとトラネキサム酸導入を5回施術。
施術期間中シミ内服を続けていただき、顕著な改善効果が見られた。
費用等に関する事項:当治療は自由診療です。肌質、症状の程度、疾患の種類によって必要な回数や設定が異なるため、当写真と同様の仕上りを目指して治療をする場合、費用も個人差が発生します。
治療等の主なリスク・副作用:出力によっては色素脱失のリスクがありますので、低出力で様子を見ながら複数回にわたっての治療が必要となります。
美容医療コラム
- 【しみ・肝斑・そばかす】

男性の顔のシミを消す方法とは?原因から正しい対策まで医師が解説します。
- 【しみ・肝斑・そばかす】

顔のシミは消すことができる? 保険診療と自費診療の治療の違いもご紹介
- 【しみ・肝斑・そばかす】

シミができる原因とシミ取り治療を行うベストシーズンとは
- 【しみ・肝斑・そばかす】

皮膚科医が実践する、日焼けシミにならないケアと治し方

パチパチとはじけるような刺激がありますが、麻酔は不要で、治療後はいつも通りメイクができるので、ランチタイムの時間を利用したり治療後に大切な予定を入れたりでき、気軽に治療を受けていただけます。
症状の改善が得られたあとは、メンテナンスのために1~3ヶ月を目安に治療を続けるとさらなる効果及びその維持ができます。
また、肝斑かどうかを見分けるのは医師でないと難しい場合があり、 治療法を誤ると症状を悪化させてしまう恐れがあります。もしも「私のしみは肝斑かな?」と気になるようでしたら、お気軽に相談ください。